Установка брекет-системы Damon Q за 49.990 ₽

Установка брекет-системы
*КТ-снимок не выдается на руки
КТ в подарок для первичных пациентов
Эффективное и доказанное исправление прикуса для взрослых и детей
49.990
Подарите себе ровную улыбку и здоровье зубов на всю жизнь

Показания для установки брекетов

Неровное положение зубов, скученность или щели между зубами (диастемы, тремы)
Подготовка к протезированию или имплантации (создание идеального места для будущего зуба)
Неправильный прикус: дистальный, мезиальный, открытый, глубокий, перекрестный
Нарушение функции жевания и дикции
Профилактика заболеваний зубов и десен, вызванных неправильным положением зубов

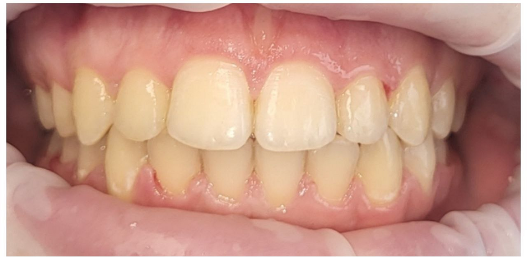
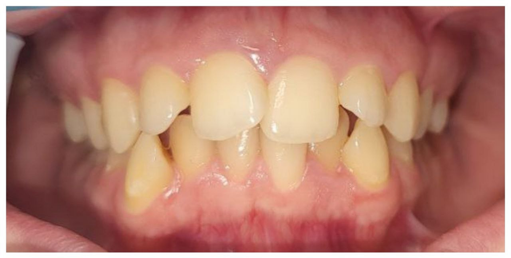
Фото работ

Врач: Махмудова Азиза Анваровна
Врач: Махмудова Азиза Анваровна
В нашей клинике применяются брекеты Damon Q, которые приводят к желаемому результату
в 100% случаев
Преимущества брекетов Damon Q
Быстрый результат — лечение на 20−30% короче классических брекетов
Компактные размеры систем, которые облегчают привыкание
Низкий риск травм слизистой и языка
Гипоаллергенный материал — нержавеющая сталь 17−4, которая не окисляется во рту
Минимум неприятных ощущений: скользящая дуга подстраивается под меняющийся прикус, и нагрузка распределяется равномерно по всему ряду
Эстетичный внешний вид

Акции и спецпредложения

от 198 800 ₽
Элайнеры под ключ
Консультация ортодонта
Изготовление элайнеров
по плану лечения
Рекомендации по уходу
49 990 ₽
Установка брекетов Damon Q
Консультация ортодонта
Установка и фиксация
брекет-системы
КТ в подарок для первичных пациентов
КТ в подарок для первичных пациентов
Подбор плана лечения
*Стоимость указана за 1 челюсть
**КТ снимок не выдается на руки
**КТ снимок не выдается на руки
*Стоимость указана за 1 челюсть

Запишитесь на консультацию к стоматологу-ортодонту

Этапы установки брекет-системы

1
Консультация ортодонта
Осмотр, диагностика (снимки ОПТГ, КТ, слепки), составление детального плана лечения
3
Установка брекет-системы
Процедура занимает 1,5−2 часа и абсолютно безболезненна
5
Снятие брекетов
После достижения идеального результата система аккуратно снимается
2
Подготовка
Санация полости рта (лечение кариеса, профгигиена)
4
Плановые активации
Раз в 1−2 месяца вы посещаете врача для коррекции системы и активации дуги
6
Ретенционный период
Самый важный этап! Для закрепления результата изготавливаются ретейнеры (несъемная проволочка на внутренней стороне зубов) и/или каппы. Это предотвратит возвращение зубов в исходное положение

Кураторы

Мы пошли дальше и предусмотрели нюансы
Гостеприимный персонал и комфортные зоны ожидания — это адекватный уровень обслуживания, а не повод для гордости
На протяжении всего лечения вас будет сопровождать персональный куратор, который поможет разобраться во всех сложностях, подскажет и объяснит, чтобы вы чувствовали себя максимально комфортно
Расскажем как подготовиться к имплантации
Закажем такси после операции за наш счет
Выдадим инструкцию по уходу за полостью рта и питанию
Подготовим документы
для возврата 13% налога за лечение

Видеоотзывы о стоматологии АС

Ответы на часто задаваемые вопросы

Остались вопросы?

Оставьте заявку и мы свяжемся с Вами в ближайшее время
Находясь на нашем сайте, вы соглашаетесь на использование cookies и обработку данных метрическими программами.
Хорошо